Startseite
Die Praxis
Praxiskonzept
Praxisrundgang
Unser Team
Partner
Notdienste
häufige Fragen
Zahnunfall
Zahnschmerzen?
Aktuelles
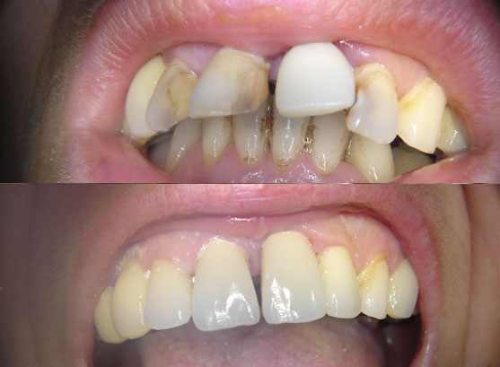
Galerie
Kontakt
Anfahrt
Impressum
Datenschutz
Barrierefreiheit
Login Form
Benutzername
Passwort
Angemeldet bleiben
Passwort vergessen?
Benutzername vergessen?
Zahn Behandlungen
Zahnerkrankungen
Karies
Zähne erhalten
Wurzelkanalbehandlung
Wurzelspitzenentfernung
Zähne entfernen
Weisheitszahnentfernung
Zahnentfernung
Zähne wiederherstellen
Frontzahnkronen
Seitenzahnkronen
Inlays und Onlays
Kunststoff Füllungen
Veneers
Zähne ersetzen
Brücken
Adhesivbrücken
Modellgussprothese
Teleskopkronen
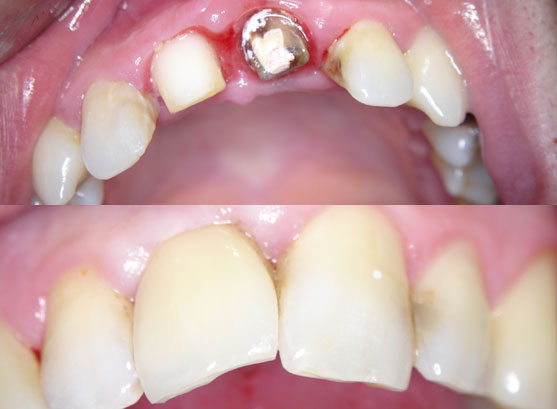
Implantate
Implantat Brücken
Implantat Kronen
Implantat Prothesen
Knochenaufbau
Totalprothesen
Zahnfleischerkrankungen
Gingivitis
Parodontitis
Zähne verschönern
Bleaching
Zahnschmuck
Zahnlücken schließen
Keramikinlays
Keramikronen
Zähne schützen
Fissurenversiegelung
Zähne richtig pflegen
Putzen aber richtig
Einsatz von Zahnseide
Zungenreinigung
Brücken reinigen
Implantate reinigen
Professionelle Zahnreinigung
sonstige Behandlungen
Kinderzahnheilkunde
Kiefergelenkschmerzen
Mundschleimhauterkrankungen
Mundgeruchsbehandlung
trockener Mund
Schnarchprobleme
Zähneknirschen
Wissenswertes
Angst vor dem Zahnarzt
Betäubungsarten
digitale Farbbestimmung
digitales Röntgen
Ohrgeräusche
Zahnlexikon
Aktuelle Seite:
Home
Galerie
Zugriffe: 10829
Behandlung